文献速递|佰乐博产品2025年10月新增部分引用文献分享-商家动态-资讯-生物在线

文献速递|佰乐博产品2025年10月新增部分引用文献分享

作者:武汉佰乐博生物技术有限公司 2025-12-08T00:00 (访问量:806)

2025年10月,AntibodySystem的多款产品再度获得全球科研界的认可,其产品相继被Advanced Science、Cell Reports等权威学术期刊引用,研究内容涵盖涉及格雷夫斯眼病的新型疗法、颞叶癫痫的发病机制、猴痘病毒的复制机理、新型亨尼帕病毒的抗体开发、结直肠癌的肿瘤微环境调控以及尼帕病毒蛋白的功能解析等多个前沿方向,充分展现了我们的产品在助力生命科学基础研究与转化医学探索中的关键价值!未来,AntibodySystem 将继续携手全球科研团队,助力生命科学从分子机制解析到疾病治疗靶点挖掘的全链条研究,共推科学边界拓展!今天和Dr. connie 一起了解下AntibodySystem产品10月新增的部分引用文献!

 

1.    影响因子:14.1

标题

TSHR-Targeting Nucleic Acid Aptamer Treats Graves' Ophthalmopathy via Novel Allosteric Inhibition

期刊信息

Adv Sci (Weinh). 2025 Oct 7:e05586.

引用产品清单 

货号

品名

DHC29903

Research Grade Teprotumumab

主要发现:

格雷夫斯眼病(GO)是一种自身免疫性疾病,现有疗法效果有限。本研究开发了一种靶向促甲状腺激素受体(TSHR)的核酸适体YC3。YC3能通过结合TSHR上一个新型变构位点,有效抑制受体过度活化。在细胞和动物模型中,YC3均显示出良好的治疗潜力,不仅能缓解眼眶成纤维细胞的病理特征,还能显著改善GO小鼠的眼部症状。该研究不仅为GO治疗提供了新候选药物,也揭示了TSHR新的作用机制,为开发变构抑制剂开辟了新途径。

本文引用了AntibodySystemResearch Grade Teprotumumab(货号DHC29903)作为阳性对照药物,与YC3的处理效果进行比较。显示出对Graves’眼眶成纤维细胞中炎症反应和透明质酸合成的显著抑制作用,进一步验证了其作为治疗Graves’眼病的有效生物制剂的潜力。

 

2.    影响因子:14.1

标题

Elevated Apolipoprotein E Expression in Hippocampal Microglia Drives Temporal Lobe Epilepsy Progression

期刊信息

Adv Sci (Weinh). 2025 Oct 14:e05778.

引用产品清单 

货号

品名

RMB98601

Anti-Mouse APOE Antibody (HJ6.3)

主要发现:

颞叶癫痫(TLE)的主要特征为海马硬化,而小胶质细胞活化是其关键病理环节。研究表明,载脂蛋白E(APOE)在此过程中扮演重要角色。在TLE患者及模型小鼠海马组织中,APOE表达显著升高,且主要来源于一类高表达APOE的小胶质细胞亚群。功能实验证实,这些APOE阳性小胶质细胞可促进神经炎症、神经元凋亡并增强神经元兴奋性。APOE基因敲除则能减轻小鼠的癫痫病理表现及发作频率。机制上,APOE通过扰乱甘油磷脂代谢驱动疾病进展。该研究明确了APOE阳性小胶质细胞是推动TLE与海马硬化的核心因素,为治疗干预提供了新靶点。

文章引用了AntibodySystemAnti-Mouse APOE Antibody (HJ6.3)(货号RMB98601),作为体外细胞实验中的APOE抑制剂,实验结果表明它能通过中和APOE蛋白的功能,显著抑制小胶质细胞的神经炎症反应及相关信号通路的激活。

3.    影响因子: 14.1

标题

Blocking Lysine Crotonylation and Aerobic Glycolysis as Targeting Strategy Against mpox Virus Replication

期刊信息

Adv Sci (Weinh). 2025 Oct 27:e09148.

引用产品清单 

货号

品名

PVV14801

Anti-Monkeypox virus/MPXV F3L Polyclonal Antibody

PVV13201

Anti-Monkeypox virus/MPXV E8L Polyclonal Antibody

主要发现:

猴痘病毒通过其I3蛋白的赖氨酸巴豆酰化劫持宿主细胞有氧糖酵解,进而促进病毒复制。研究发现,病毒上调的乙酰转移酶MYST1可催化I3发生巴豆酰化,修饰后的I3通过与WDR26蛋白相互作用阻止其降解,从而增强糖酵解水平。使用MYST1抑制剂MC4033或糖酵解抑制剂均可有效抑制病毒复制,提示赖氨酸巴豆酰化和有氧糖酵解是抗猴痘治疗的潜在靶点。

本文引用了AntibodySystemAnti-Monkeypox virus/MPXV F3L Polyclonal Antibody(货号PVV14801)Anti-Monkeypox virus/MPXV E8L Polyclonal Antibody(货号PVV13201)用于WB实验,证实了靶向MYST1或有氧糖酵解能有效抑制MPXV病毒蛋白的表达和病毒复制。

 

4.    影响因子:6.9

标题

Structure and function of a pair of non-competing monoclonal antibodies against Langya henipavirus attachment glycoprotein

期刊信息

Cell Rep. 2025 Oct 9;44(10):116407.

引用产品清单 

货号

品名

PVV18301

Anti-Langya virus/LayV G/Glycoprotein Polyclonal Antibody

主要发现:

新亨德拉尼帕病毒(LayV)是近年在中国东部发热伴动物接触史患者中发现的一种人畜共患副亨尼帕病毒。其附着糖蛋白(G)是宿主细胞入侵的关键介质和重要免疫靶点。然而LayV-G与高致病性亨德拉病毒(HeV)、尼帕病毒(NiV)的G蛋白存在显著抗原差异,提示现有疫苗或抗体疗法可能对LayV无效。本研究通过小鼠免疫获得一组靶向LayV-G的单克隆抗体,鉴定出两个具有显著Fc介导抗病毒功能的强效抗体,并解析了其与LayV-G头部结构域不同表位结合的冷冻电镜结构(分辨率2.92Å),揭示了抗体识别机制及G蛋白潜在构象动态。该研究明确了LayV-G的两个功能相关表位,为抗体药物和疫苗研发奠定基础。


文章引用了AntibodySystemAnti-Langya virus/LayV G/Glycoprotein Polyclonal Antibody(货号PVV18301),主要在WB和ELISA实验中作为关键的阳性对照试剂,用于验证实验系统的可靠性并辅助表征新分离的单克隆抗体。

 

5.    影响因子:2.4

标题

TAMs-derived IL-1β inducing DDX21 enhances CRC proliferation and metastasis via JAK2/STAT3 pathway

期刊信息

Cancer Treat Res Commun. 2025 Oct 20:45:101022.

引用产品清单 

货号

品名

VHC79101

InVivoMAb Anti-Human IL8/CXCL8 (Iv0023)

VHB94401

InVivoMAb Anti-Human TNFa/TNF-alpha (Iv0050)

VHB95601

InVivoMAb Anti-Human IL1B/IL1F2 (Iv0019)

VHF70301

InVivoMAb Anti-Human CCL8/MCP-2 (Iv0080)

主要发现:

本研究揭示肿瘤相关巨噬细胞通过分泌IL-1β促进结直肠癌进展的机制。巨噬细胞来源的IL-1β激活JAK2/STAT3通路,磷酸化STAT3通过结合DDX21增强其稳定性,进而上调ZEB1表达,诱导CCL8产生。CCL8进一步招募巨噬细胞浸润,形成正反馈循环,增强结直肠癌细胞的干性、迁移和侵袭能力。体内实验证实敲低IL-1β可抑制此过程。临床分析显示巨噬细胞中IL-1β与CD206表达与患者不良预后相关。研究表明靶向IL-1β可能成为结直肠癌免疫治疗的潜在策略。

本文引用了AntibodySystemInVivoMAb Anti-Human IL8/CXCL8 (Iv0023)(货号VHC79101)、InVivoMAb Anti-Human TNFa/TNF-alpha (Iv0050)(货号VHB94401)、InVivoMAb Anti-Human IL1B/IL1F2 (Iv0019)(货号VHB95601)、InVivoMAb Anti-Human CCL8/MCP-2 (Iv0080)(货号VHF70301)主要用于功能阻断实验,以验证TAMs分泌的细胞因子(如IL-1β、CCL8)在调控DDX21表达、ZEB1介导的EMT、干细胞特性及巨噬细胞招募中的作用。实验结果表明,IL-1β/STAT3/DDX21/ZEB1/CCL8轴在CRC的恶性进展和免疫微环境调控中扮演核心角色,而TNF-α和IL-8未显示显著参与该通路。

 

6.    BioRxiv

标题

Functional and antigenic constraints on the Nipah virus fusion protein

期刊信息

bioRxiv. October 15, 2025

引用产品清单 

货号

品名

PVV08101

Anti-Nipah virus/HeV F/Fusion glycoprotein F0 Polyclonal Antibody

主要发现:

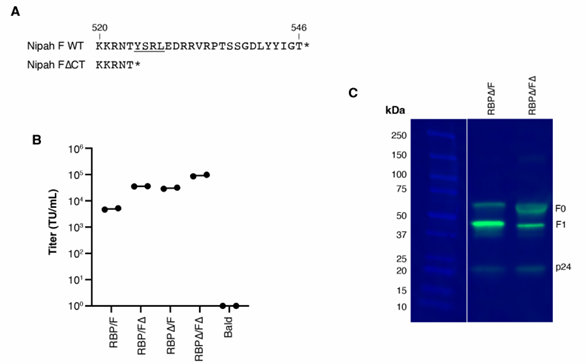
本研究利用假病毒系统,系统分析了尼帕病毒融合蛋白(F)所有单氨基酸突变对其介导细胞入侵能力及单克隆抗体中和作用的影响。结果显示,与受体结合蛋白(RBP)相比,F蛋白在进化上受到更强的功能约束。我们鉴定了F蛋白三聚体表面和内部对功能至关重要的敏感位点,并筛选出可能稳定其融合前构象的突变,为疫苗设计提供了新思路。此外,研究量化了F蛋白突变对六种单克隆抗体中和能力的影响,发现不同抗体对突变的敏感性差异显著。基于尼帕病毒F蛋白的突变效应,我们还成功预测了相关抗体对同属亨德拉病毒的中和作用。该研究系统揭示了F蛋白在功能和抗原性方面的关键约束机制。

本文引用了AntibodySystemAnti-Nipah virus/HeV F/Fusion glycoprotein F0 Polyclonal Antibody(货号PVV08101),通过WB实验验证了细胞质尾截短型尼帕病毒F蛋白在假病毒系统中的表达与切割情况。实验表明,截短后的F蛋白仍可被有效切割生成F1亚基,并成功整合至病毒颗粒,支持了后续深度突变扫描体系的可靠性。

以上为2025年10月部分引用AntibodySystem产品的科研文献。AntibodySystem可提供覆盖重组蛋白、流式抗体、抗IgE抗体、磷酸化抗体、ELISA试剂盒等全系列科研试剂产品,精准服务于药物靶点研究、免疫分析、过敏机制探索及肿瘤治疗开发等领域。

佰乐博生物作为AntibodySystem亚洲独家代理,将为您的科研工作提供专业、全面、可靠的试剂产品。更多产品详情欢迎致电或者添加产品专员微信咨询!

扫码添加产品专员微信

电话:027-65279366

 

武汉佰乐博生物技术有限公司 商家主页

地 址: 武汉东湖新技术开发区神墩四路666号C区1层

联系人: 钱女士

电 话: 027-65279366

传 真:

Email:info@biolabreagent.com

相关咨询
ADVERTISEMENT